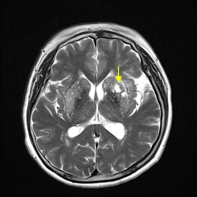
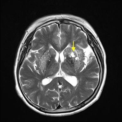
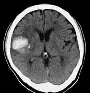
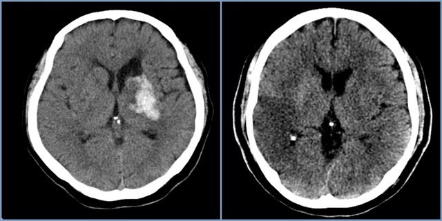
뇌혈관이 막히거나 터지는 질환을 부르는게 뇌졸중이고 그 중 뇌혈관이 막히는게 뇌경색 그리고 뇌혈관이 터지는 것을 뇌출혈이라고 합니다. 뇌졸중은 영구적인 손상이 많다고 하며 증상에 따라 전신이나 육체 일부 기능이 마비되는 등의 극심한 후유증이 남는 무서운 질병입니다 오늘은 뇌경색 초기증상에 대하여 알려드리도록 하겠습니다.
뇌경색 초기증상 12가지
뇌경색 초기증상 1. 시력 이상
뇌경색 초기증상으로 시력에 이상이 있음을 느낍니다. 갑자기 한쪽 눈이나 양쪽 눈에 이상이 발생하거나 물체가 잘 보이지 않거나 두개로 보이는 경우를 보아야 합니다. 한쪽 눈만 보이거나 물체가 절반만 보이기도 합니다. 접시 우측에 고기가 있으며 좌측에 생선이 있어도 한쪽만 보여 다른 식품이 있다는 것을 모르게 되기도 해요. 이로 인하여 보이는 쪽 식품만 복용하는 것입니다.






뇌경색 초기증상 2. 언어 장애
뇌경색 초기증상으로 언어 장애를 겪을 수 있어요. 초기에는 일반적인 때와 같은 대화를 그러나, 상대방이 무슨 말을 하고 있는지 이해를 하지 못하는 경우가 생깁니다. 또한 본인의 생각을 말로 표현하지 못하고 겉돌거나 발음이 어눌해져요.
뇌경색 초기증상 3. 두통
뇌경색 초기증상으로 두통이 빈번하게 발생될 수 있는데, 목을 기준으로 목덜미 부위부터 통증이 시작되는데, 머리가 깨질 거 같은 고통이 생길 수도 있다고 하며 구토까지 나타날 수 있어요.
뇌경색 초기증상 4. 마비
뇌경색 초기증상을 겪은 후 얼굴의 한쪽 면에 마비가 오는 경우나 팔이나 다리에 힘이 빠져 물건을 쥘 수 없게되고 심할 경우 걷지 못하는 상황도 발생 할 수 있답니다. 특정 부위에 오는 마비 증상은 정확하게 어느 부위에 나타나는지 국한되지 않기 떄문에 감각이 둔하게 나타나거나 움직임 자체가 어려운 경우 뇌경색 초기증상을 의심하는게 좋답니다. 특히나 육체 마비는 뇌경색 초기증상 중 대표적인 것으로 가능한 한 빠르게 병원에 내원하여 진단받는 것을 권고해요.






뇌경색 초기증상 5. 이명과 어지러움
뇌경색 초기증상에 의하여 뇌가 정상적으로 작동하지 못하면 가만히 있는데 땅이 움직이거나 주변의 사물이 도는 느낌이 드는 어지러움증이 발생 할 수 있답니다. 그리고 많은 양의 뇌경색환자들이 급작스럽게 귀에서 소리가 나는 경우도 있어요. 뇌경색 초기증상에 의하여 똑바로 걷기가 어렵고 술을 마시지 않았어도 술 취한 것처럼 비틀거리는 경우가 많다고 해요.
뇌경색 초기증상 6. 피로감
뇌경색의 초기 증상으로 심각한 피로를 느끼게 되어요. 일반적인 피로와 달리 머리가 무겁고 피곤하며 살기 힘들어요. 이 시간에 자면 더 위험할 수 있어요. 치료시기를 놓칠 수 있기 때문이죠. 고혈압, 고콜레스테롤혈증이 있는 경우 이러한 증상이 나타나면 즉시 병원에 가는게 좋아요.






뇌경색 초기증상 7. 복시
뇌경색 초기증상으로 복시 현상이 일어날 수 있답니다. 후두엽 혈관이 막히게 되면 초기증상으로 시야가 결손 되거나 복시 현상이 생기게 된다고 합니다. 또한 단순 시력 감소가 아닌 글씨나 물체가 겹쳐 보이고 뚜렷하게 보이지 않는 증상이 나타난다고 합니다. 때문에 일반적인 시력감소는 시력이 서서히 나빠지는 양상을 보이지만 뇌경색의 경우에는 급작스럽게 시력이 감소되거나 한쪽 눈이 아에 보이지 않을 수도 있다고 합니다.
뇌경색 초기증상 8. 감각이상
감각이상으로 위에서 언급한 편측마비 증상과 마찬가지로 뇌의 반대편 쪽 팔이나 다리에서 이상 감각이 느껴지거나 운동재능을 잃게 돼요.
뇌경색 초기증상 9. 시력 저하
다른 뇌질환들과 달리 주변 시야가 좁아져요. 물체가 여러 개로 겹쳐 보이는 증상들이 아무런 징후도 없이 급격하게 유발돼요. 혈관이 막히면 바로 뇌 손상을 입는 환자가 있답니다. 혈관이 막혔더라도 다른 혈관으로 혈액 순환이 일정 시간 할 수 있는 환자도 있어요. 또한 혈관이 일시적으로 막혔다가 다시 뚫리면서 증세가 완화되거나 없어지는 경우도 있어요.통상 뇌경색 환자 5명 중 1명 꼴로 나타나는 증상입니다. 시력저하는 나이가 들며서 자연스럽게 나타나는 현상이라고 생각하고 쉽게지나치는 경향이 있어요. 시력 저하가 갑자기 발생하면 뇌경색을 의심할 수 있으니, 병원에 방문하시길 권해드리도록 하겠습니다.






뇌경색 초기증상 10. 실어증
실어증은 언어를 이해한 경우 혹은 표현하기 어려워하는 증상입니다. 뇌혈관에 혈액순환 장애가 생기게 되며 단어를 생각하는데에 어려움이 생기며 소통을 할 때 혀가 굳는 느낌도 받으며 발음 또한 올바르게 되지 않는다고 합니다. 그래서 상대방과 대화가 어려워지면 자신이 어떤 말을 하려고 하지만 쉽지 않게 된다고 합니다. 일부 뇌경색 환자들 같은 경우에는 실어증만 나타난다고도 하고, 실어증이 나타났다는 것은 즉 대뇌 중 우성반구에 문제가 나타났다는 것을 의미한다고 합니다. 그렇기 때문에 뇌경색이 아닌지 의심할 필요가 있다고 합니다.
뇌경색 초기증상 11. 구토
뇌경색으로 인한 어지럼증 증상이 계속하여 계속된다면 구토를 발생하게 된다고 해요. 우리 몸의 거부 반응 중 하나가가 구토인데 구토 증상이 발생한다는 것만으로도 우리 몸이 무엇이었나 문제가 있다고 결단 지을 할 수 있는 근거입니다. 까닭이 불명백한 구토 증상이 일어난다면 뇌경색 초기증상을 수상해 볼 수 있답니다.
뇌경색 초기증상 12. 기억력 저하
뇌경색으로 인해서 기억을 담당하는 뇌의 신경이 깨진다면 기억력이 낮아질 수 있어요. 기억이 잘 안 나거나 걸핏하면 잊어버린다던지 하는 증상이 생겨난다면 검사를 받는게 좋고 심하게 되었다면 치매로 연속될 수도 있답니다.






뇌경색의 원인이 되는 것
허혈성 뇌졸중은 발생 기전에 따라 대혈관 질환에 의한 뇌경색, 심인성 뇌경색 또는 심인성 뇌경색, 소혈관 질환 또는 틈새 뇌경색, 기타 드문 이유가 되는 것에 의한 뇌경색으로 나누어져요. 에피소드는 일정 기간 동안 증상이 완전히 가라앉는 경우입니다.
허혈성 뇌졸중의 대표적인 이유가 되는 것은 고혈압, 당뇨병, 고지혈증 등으로 인해서 뇌에 혈액을 전달하는 혈관에 동맥경화(동맥경화)가 발생하여 뇌로 가는 혈류를 차단하는 것입니다.






뇌경색 예방법
뇌경색을 방지하기 위하는 것은 술과 담배를 금지하고 유산소 운동을 하며 동물성 기름 섭취를 자제하죠. 달콤한 식품도 자제하는것이 좋으며 스트레스 완화 및 충분한 수면도 필요해요. 물론 충분한 수분섭취를 하는것도 빼놓을 수 없어요. 과한 음주, 흡연도 좋지않으며, 주기적으로 본인의 혈압을 체크하는 것도 도움이 될 수 있어요.
기름지거나 짠 식품보다 싱겁게 복용하는 게 좋고, 혈액이 흐르고 있는 혈관을 강화시키거나 혈관 내에 있는 노폐물을 제거해주는 식품 위주로 먹은하죠. 양파나 대파, 생강, 느타리버섯 등이 뇌경색 초기 증상을 치료에 좋은 식품이죠.






현미, 퀴노아, 통밀 빵과 같은 통곡물은 혈당 수치를 절제하고 튼튼한 체중을 보호하는 데 도움이 될 수 있답니다. 저지방 단백질 공급원을 선택하더라고요: 생선, 가금류 및 식물성 단백질은 심장 건강에 좋은 식품으로 전면적인 건강에 도움을 준다고 해요. 연어, 닭고기, 두부, 콩 등이 그 예입니다.
뇌경색은 생활병이라고 할 만큼 이의 예방은 위험요인의 관리가 가장 중요하다고 하죠. 조절 할 수 있는 위험요인인 고혈압, 부정맥, 당뇨병 등의 고지혈증, 심장질환, 비만, 과음, 흡연, 수면무호흡증, 비만, 운동부족, 경동맥 협착 등의 조기발견 및 관리에 힘쓰는게 뇌경색의 예방에 수많은 도움을 준답니다. 규칙적인 혈압 측정과 혈압관리를 하며, 일주일에 4일은 하루에 30분 이상 운동을 하는게 좋아요.












2023.06.27 - [분류 전체보기] - 대장내시경 전 먹어도 되는 음식 및 주의사항 정리
대장내시경 전 먹어도 되는 음식 및 주의사항 정리
오늘은 대장내시경 검사를 앞둔 분들이 읽어보시면 좋을 대장내시경 전 준비사항에 대하여 알아보시죠. 대장내시경 검사 방법 대장내시경은 대장암을 90% 이상 선별하는 방법으로 알려져 있어
sweetp.minabambi.com
2023.06.24 - [분류 전체보기] - 갑상선암 증상과 원인 치료법 정리해봤어요
갑상선암 증상과 원인 치료법 정리해봤어요
갑상선암은 남성보다는 여성에게서 5배가량 많은 양의 발병률을 함유하고 있어요. 지금은 의료기술이 다량 발달되어 갑상선암의 경우 다른 암에 비해 치료도 비교적 쉬운 편이라고 해요. 오늘
sweetp.minabambi.com
2023.06.27 - [분류 전체보기] - 대장암 초기증상 원인 혈변색 검사방법 정리
대장암 초기증상 원인 혈변색 검사방법 정리
우리는 살면서 갖가지 암들의 노출되게 되어 있답니다. 그중에서 오늘은 대장암에 관한 내용들을 알아보는 시간을 가져보도록 하겠습니다. 대장암은 초기증상이 거의 없는 암 중의 하나입니다.
sweetp.minabambi.com