오늘은 대장내시경 검사를 앞둔 분들이 읽어보시면 좋을 대장내시경 전 준비사항에 대하여 알아보시죠.
대장내시경 검사 방법
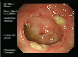
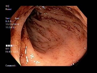
대장내시경은 대장암을 90% 이상 선별하는 방법으로 알려져 있어요. 대장 내시경 검사 시 실제로 암이 발견되면 정밀 검사를 받아야 해요. 먼저 정확한 진단을 받기 위하는 것은 대장내시경 전 식품 유의사항을 정확히 지키는게 중요해요. 식품 유의사항을 잘 지켰다면 병원을 방문하여 검사를 받게 되는데, 검사 시 편한 옷을 갈아입고, 왼쪽 방향으로 옆으로 누운 다음 무릎을 구부린 자세를 취해요. 그다음은 수면 내시경으로 진행한다면 진정제를 투입하면 잠이 들면 항문을 통해 의료 내시경을 삽입하여 검사를 하게 되어요. 비수면의 경우 내시경 삽입 시 강력한 힘이나 말을 하게 되면 삽입이 어려울 수 있기 때문에 긴장을 가능한 한 풀고 진행하게 되어요. 검사 시간은 환자에 따라 조금씩 다르지만 20-30분 정도 소요된다고 해요.






대장내시경 전 유의할 점 알아보기
검사 시 깨끗한 장 청결을 위해서 대장 정결제 복용순서와 복용방법에 관해 정확하게 숙지하시고, 이를 지켜주세요
대장내시경 전 식품 유의할 점은 준비하기 전에 필수로 알아두어야 하는데요. 위내시경은 전날 금식만 조절하면 되지만 대장내시경은 변을 제거해야 하므로 조금 더 과정이 복잡해요. 보통 건강검진 전날 밤에 식사 조절을 하지만 대장내시경을 같이 한다면 3일 전부터 식품을 주의해야 합니다.
검사 3일 전부터는 씨 있는 과일이나, 깨, 버섯은 복용하지 않아야하며, 콩류, 야채류, 해조류, 김치 또한 복용하지 않아야 해요. (키위, 딸기, 수박, 참외, 포도, 오렌지, 파, 버섯, 깨, 현미밥, 콩나물, 김치, 깍두기, 김, 다시마, 미역, 샐러드, 시금치 등이 이에 해당)섭취하면 안 되는 식품
- 씨 있는 과일 : 과일 껍데기, 딸기, 참외, 키위, 수박, 포도
- 샐러드, 콩나물, 버섯, 해조류, 나물류, 김치류
- 깨죽, 현미밥, 잡곡밥, 검은 쌀
- 잣, 호두, 땅콩






검사 5시간 전부터 장세정제 시럽을 나눠준 설명에 따라 먹어야 해요. 만에 하나라도 찬물을 마시는 동안 울렁거림이 있으면 10분 정도 쉬고 복용해요. 장세정제를 먹는 동안 눕거나 앉아 있지 말고 제자리걸음, 런닝머신 등 가벼운 운동을 하는게 좋아요.
다 마신 뒤 갈증이 있으면 물을 한두 컵씩 더 마셔도 돼요. 당일 내원 3시간 전부터는 물을 포함해 아무것도 섭취하지 말아야 해요. 마지막 설사가 소변처럼 깨끗하게 나오는지 장 세척 상태를 확인한 뒤 내원해야 해요.
먼저 검사가 예약이 되었다면 철분제와 혈전용해, 아스피린제를 일주일 전에는 중지하시고 3일 이전부터는 복용하는 것을 금하는 식품들이 있어요. 우선 키위와 포도, 참외, 수박과 같이 씨가 있는 과일들은 안되며, 다시마와 미역과 같은 해조류와 고사리나 버섯, 김치와 같은 채소와 현미와 흑미와 같은 잡곡류 그리고 고춧가루가 많이 있는 것과 견과류 같은 것은 대장내시경 전 식품유의사항에 해당되는 사항입니다. 이러한 음식들을 먹고 나면 장 표면에 그것들이 잔존하여서 검사 진행시 알맞게 된 확인이 불가할 수 있으므로 유념하시고, 또한 대변이 장에 잔존해있을 경우에도 병변을 정확이 체크하는데 힘들기도 합니다.






수면 내시경 후 주의 사항
물이나 식품물은 1~2시간 후 섭취 해야 해요. 검사 당일 너무 뜨겁거나 자극적인 식품을 피하고 술, 담배, 커피, 회 등은 3 ~ 4일간 피해 주세요. 검사 당일 운전, 사우나, 심한 운동을 피하는것이 좋아요.
대장내시경 후 먹어도 되는 식품
대장내시경을 하고 난 바로 그날에는 강도 높은 일정은 모두 뒤로 연기하고 운동 역시 멀리하는 것을 추천드리겠습니다. 또한 용종을 제거해 주는 절차가 없었던 상태라면 30분 후부터 식품을 섭취 할 수 있어요. 하지만 1시간이나 최대 2시간 정도는 여러분의 상태에 따라서 식품을 먹는는게 좋답니다. 만에 하나라도 용종을 제거하고 난 분이라면 최소 8시간에서 최대 2일간은 식품을 복용하지 말라는 의사의 권고가 있을 수도 있는데, 그 이유는 출혈이나 천공이 발생할 때를 대비하는게니 의사의 지시를 따라주는게 좋답니다.
대장내시경 검사 주기
대장내시경 검사 후 나이에 상관없이 고위험군은 3년 후, 저위험군은 5년 후 검사를 권고해요. 대장용종에서 대장암까지의 발병 기간은 5 ~ 10년 이므로 적어도 5~10년 간격으로 재검사는 필수로 필요해요.






하지만 본인의 인체는 본인이 챙겨야 하기에 위암이나 대장암 가족력이 있는 경우 그보다 일찍 정기 검진을 받는게 좋으며 이유할 수 없는 체중 감소, 식욕 부진, 배변, 메스꺼움 중 검은색 또는 묽은 변이 나타나면 진단을 위해 대장 내시경 검사를 권장하며 내시경 치료가 즉시 가능하기에 질병의 조기 발견이 중요해요.
이상으로 대장내시경 전 음식조절과 주의할점에 대해 알아보았습니다.












2023.01.03 - [분류 전체보기] - 구기자 효능 10가지 알아보기
구기자 효능 10가지 알아보기
인삼 하수오와 함께 3대 명약으로 여겨지는 구기자는 진시황이 불로장생을 위해 먹었던 음식이 기도하며 그 효능이 뛰어나 우리나라뿐만 아니라 중국에서도 많이 먹는 식품 구기자 효능을 알아
sweetp.minabambi.com
2022.05.13 - [분류 전체보기] - 날씨가 흐리고 언제 초여름이 오나.
날씨가 흐리고 언제 초여름이 오나.
나는 늦봄과 초여름을 사랑한다. 생기가 올라오는것 같고 푸릇푸릇한 나뭇잎이 꼭 젊음을 상징하는것 같다. 긴팔옷과 반팔옷을 번갈아가며 입을때, 옷차림이 가벼워질때, 그때는 싱그러움마저
sweetp.minabambi.com
2023.03.16 - [분류 전체보기] - 아욱 효능 8가지 좋은 아욱 고르는 법
아욱 효능 8가지 좋은 아욱 고르는 법
아욱은 여러 음식에 재료로 사용됩니다. 특히 국이나 이유식에 많이 쓰이는데요. 오늘은 아욱 효능 여덟가지와 좋은 아욱 고르는 방법에 대해 알아보겠습니다. 아욱 효능 여덟가지 아욱 효능 첫
sweetp.minabambi.com