췌장암은 암중에 가장 사망 가능성이 가장 높은 암이고 생존 확률이 가장 낮은 암입니다. 로 인해 췌장암 전조증상을 인지 하는것이 가장 중요시되는 일입니다. 췌장암의 사전적 정의는 말 그대로 체내의 기관인 췌장에 생긴 암입니다. 오늘은 췌장암 초기증상 13가지에 관하여 디테일하게 알아보고자 합니다.
췌장암 초기증상 13가지
췌장암 초기증상 1. 체중 감소
체중 감소가 췌장암 초기증상으로 일어날 수 있다고 해요. 암에 걸린 환자들은 보편적으로 체중 감소 증상들이 생겨나는데요. 그렇기 로 인해 췌장암 전조증상에도 체중감소는 빠질 수 없는 증상 중 한 종류이라고 합니다. 보통과 다르게 체중감량를 위해 식단관리를 하지 않았는데 명확한 이유 없이 체중이 계속 줄어든다면 암을 예상해보는 편이 좋아요. 보편적으로 암 초창기에는 췌장에서의 액 분비가 떨어트리면서 흡수 장애와 식욕 부진을 겪게 되어 체중이 10%가량 감소할 수 있다고 합니다.






췌장암 초기증상 2. 당뇨수치가 늘어남
췌장암 초기증상으로 당뇨수치가 늘어날 수 있다고 해요. 최근 췌장암 환자의 45%가 췌장 종양을 알게 되려면 1년~2년 전에 당뇨병 진단을 받았다는 연구 결과가 나오기도 하였습니다. 연구자들은 당뇨병이 아직 발견되지 않은 종양으때문에 생기게 될 수 있다고 확인됐습니다. 문제는 당뇨병이 매우 쉽게 당뇨병의 대부분이 췌장암이 아니라고 할 수 있다고 해요. 그러다 보니 의사들은 그 차이를 구별할 수 있는 선별 도구를 개발하려고 노력 중이라고 해요. 요즘엔 가족력이 중요한 이유입니다. 갑자기 생기는 것으로 보이는 당뇨병 진단을 받고 나서 당뇨병 가족력 이력이 없을 해당 이 상황을 의사와 상담을 통해 췌장암에 대한 추가 검진을 신청하다 보면 좋답니다.
췌장암 초기증상 3.지방변
대변에 기름끼가 끼었거나 엄청난 냄새가 나는 현상을 지방변이라고 이야기 합니다. 이렇게 지방변을 보는 증상도 췌장암 초기증상에 해당할 수 있다고 해요. 성장하는 종양이 췌장에서 소화 효소 생성을 방해하기 때문일 수 있다고 합니다. 암세포는 지방이 많은 양의 식품의 소화를 방해해서 복부 팽만감, 변비등의 췌장암 초기증상을 유발하는데 소화효소의 분비가 정상적으로 분비되지 않게 되고 소화되지 않은 기름이 변에 섞여서 나오게 되는 증상입니다. 변을 보는데 평소보다 거품이 많거나 기름이 많아 물에 뜨는등의 증상이 보인다면 내원해서 진료를 받아보시기 바랄게요.






췌장암 초기증상 4. 소변색 변화
췌장암 초기증상으로 소변색이 주황색이나 갈색으로 변할 수 있다고 해요. 종양 성장이 담즙에 영향을 주어 체내 빌리루빈 과잉을 유발하기 때문입니다. 그것은 소변에 들어가서 더 어두운 색깔의 소변을 배출하게 되는것입니다.
췌장암 초기증상 5. 우울감
췌장암 진단을 받기 전 많은 사람들이 감정의 변화를 느꼈다고 합니다. 우울감과 우울증세가 췌장암 초기증상으로 생겨날 수도 있다는 이야기입니다. 절망감, 좋지 않은 생각 등이 합쳐져 우울감으로 발생할 수 있는데, 이런 감정과 췌장암과의 연관성은 확실하게 밝혀지지 않았지만 오래전 연구 자료에 따르면 췌장암 환자 과반수 이상이 인체적 증상이 나타나기 몇 개월 전부터 심리적 증상이 생겼다고 밝혔어요.
췌장암 초기증상 6. 메스꺼움과 구토
다른 암에서도 구토와 메스꺼움 이상 현상이 생기게 될 수 있지만 췌장암 초기증상의 경우 큰 관련이 있을 수 있다고 합니다. 췌장은 위장 바로 옆 소장이 시작되는 십이지장 부분에 위치하고 있어 췌장의 암덩어리가 위에서 장으로 이동하는 문제를 발생시켜 구토와 메스꺼움을 유발하게 되어요.






췌장암 초기증상 7. 소화 장애
췌장암 초기증상으로 소화 장애가 생깁니다. 위에 명확한 이상이 없음에도 얽매이지 않고 계속 소화가 잘 안 되는 증상들이 반복된다면 이는 췌장암 전조증상을 예상해보아야 합니다. 이는 암세포가 자라나면서 십이지장으로 가는 소화액의 통로를 막아버리기 때문이라고 합니다. 그러기 때문에 지방의 소화가 잘 되지 않고 대변을 보면 물 위에 뜨는 변을 본다거나 색은 옅고 기름지면서 양이 가지가지 변을 볼 수도 있으니 변 체크를 잘해야 합니다.
췌장암 초기증상 8. 요통
허리통증 즉 요통이 췌장암 초기증상일 수도 있다고 합니다. 췌장 뒤에 있는 척추가 있어기 로 인해 허리 통증을 느낍니다. 똑바로 누울 경우 췌장에 있는 종양이 척추를 누르기 로 인해 통증이 발생해서 똑바로 눕지 못하고 어쩔 수 없이 옆으로 눕게 된다면 췌장암 초기 이상현상인지 의심 을해 봐야 해요.
췌장암 초기증상 9. 발열 증상
췌장암 초기증상으로 발열 증상이 생깁니다. 이런 증상은 췌장에 염증이 있기 발열이 일어날 수 있게 되는것입니다. 열이 높으면 춥고 떨릴 수 있다고 해요. 이럴 경우 보온을 지속시켜서 땀을 내주거나 약을 먹어서 열을 내려주는게 중요합니다.






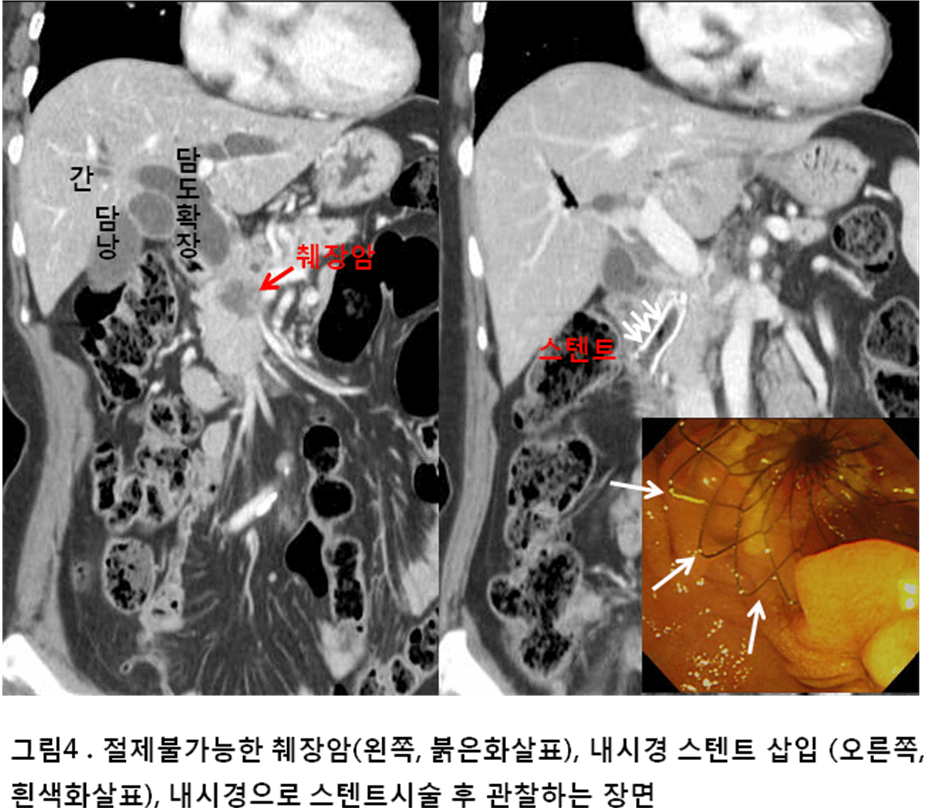
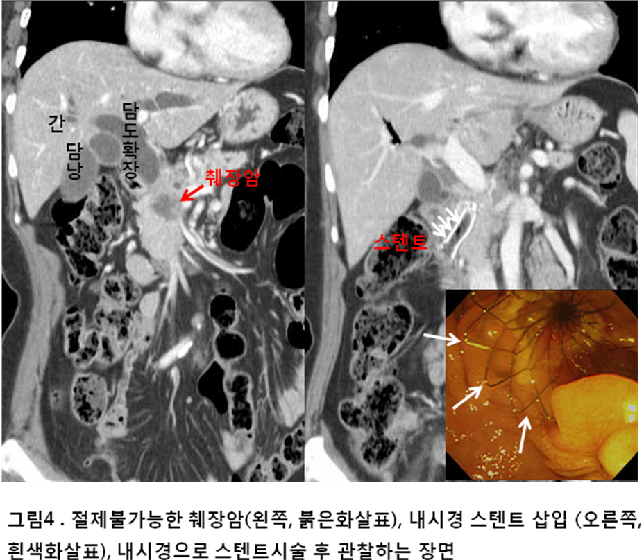
췌장암 초기증상 10. 황달
췌장암 초기증상으로 황달이 발생할 수 있다고 합니다. 황달이 생기는 과정을 알아보도록 할게요. 췌장머리 부분에 위치해 있는 종양으로 인해 생깁니다. 이 종양이 총담관에서 소장으로 이어지는 부위를 폐쇄하면서 유발하게 되어요. 담즙의 흐름을 차단합니다. 이로 인하여 혈액 속의 빌리루빈 수치가 높아지는데요. 이 때문에 황달이 발생하게 됩니다. 이러한 수치가 있더라고요. 췌장머리 부분에서 발생되는 암이 대략 80%라고 합니다. 높은 수치라고 생각이 드는군요.
췌장암 초기증상 11. 혈전증
췌장암은 혈관 내에 혈전이 형성되는 혈전증을 일으킬 수 있어요. 혈전증은 다리의 붓기, 따끔거림, 발열 등의 증상을 나타낼 수 있다고 하며, 혈전이 폐로 이동하면 호흡곤란, 가슴 통증, 심박수 증가 등의 위험한 합병증이 일어날 수 있답니다.
췌장암 초기증상 12. 등의 통증
등쪽 통증 명치를 기준으로 살짝 아래쪽이 통증을 느낄 수 있다고 하며 허리가 쑤시거나 아플 수 있어요. 이러한 것은 췌장의 꼬리 쪽에 종양이 생겨서 통증이 일어날 수 있다고 해요. 하지만 등이 아프다고 느낄 경우는 이미 췌장암 3기이고 장기 전이가 되었을 경우가 생깁니다. 췌장 꼬리 쪽 은 정밀한 검사 CT, MRI를 하지 않았을 경우는 발견하기 어렵습니다.
췌장암 초기증상 13. 혀의 백태
기본적으로 혀에 백태는 소화기관이 문제가 생겼다고 할 수 있어요. 연구에 따르면 췌장암 환자에게 잇몸 병의 원인의 세균이 많다라는 것을 알 수 있답니다. 물론 혀에 백태가 생겼다는 이유로 췌장 검사를 하기에는 무리수가 발생할 수 있어요. 다른 췌장암 초기증상도 동반해 있을 시 췌장 검사를 받아야해요.
이상으로 췌장암 초기증상 10가지에 관하여 세세히 알아보았습니다.


















2023.07.24 - [분류 전체보기] - 위염 증상 대표적인 7가지 원인과 치료방법 정리
위염 증상 대표적인 7가지 원인과 치료방법 정리
위염은 위 점막에 염증이 생기는 질환으로, 속 쓰림, 구역질, 소화불량 등의 증상을 유발해요. 오늘은 위염 증상에 관하여 알아보도록 하겠습니다. 위염 증상 7가지 1. 위염 증상 - 복통 위염의 가
sweetp.minabambi.com
2023.07.26 - [분류 전체보기] - 에너지 바우처 신청자격 지원금액
에너지 바우처 신청자격 지원금액
에너지 바우처란 생계가 보다 어려운 취약계층이 전기나 도시가스 등 활동에 반드시 필요한 에너지 사용에 대한 비용을 일정금액 지원하는 제도인데요. 활동에 반드시 필요한 에너지에는 에어
sweetp.minabambi.com
2023.07.25 - [분류 전체보기] - 우회전 횡단보도 신호위반 사항 정리했어요.
우회전 횡단보도 신호위반 사항 정리했어요.
22년 1월 21일 공표한 도로교통법 개정으로 우회전 신호위반 기준 바뀌었고 이러한 법령 개정으로 23년 1월 22일부터는 우회전 횡단보도 신호위반에 대한 단속이 강화되었어요. 오늘은 우회전 신
sweetp.minabambi.com